Waspada, Ini 7 Penyakit yang Bisa Menular dari Hewan, Ngeri! Pt.1

Di musim penghujan seperti sekarang, penyakit mulai banyak berdatangan. Penyakit tidak hanya ditularkan dari sesama manusia, tetapi bisa juga dari hewan, lho! Apalagi, dalam kondisi banjir di berbagai wilayah di Indonesia seperti sekarang, virus dari hewan lebih mudah menyebar dan menjangkiti kita.
Jangan diremehkan, sebab penyakit dari hewan ini sangat mematikan! Apa saja penyakit yang dimaksud? Simak jawabannya di bawah ini!
1. Leptospirosis

Tahukah kamu apa itu leptospirosis? Ini adalah infeksi bakteri yang bisa menular dari hewan ke manusia, umumnya melalui air kencing hewan. Bakteri ini bisa masuk ke tubuh melalui mata, selaput lendir atau luka terbuka. Hewan yang bertanggung jawab atas penyakit ini adalah tikus, rubah, sigung, rakun dan opossum, jelas Medical News Today.
Menurut World Health Organization (WHO), leptospirosis umum terjadi di daerah tropis dan bisa memengaruhi 10-100.000 orang per tahun. Gejalanya adalah demam, diare, muntah, batuk, sakit kepala, ruam hingga nyeri otot. Dalam kondisi ringan, leptospirosis bisa disembuhkan dengan antibiotik, seperti penisilin atau doksisiklin.
2. Rabies

Kita sering mendengar bahwa rabies ditularkan dari anjing ke manusia. Biasanya, virus rabies ditularkan dari gigitan hewan yang terinfeksi serta bisa memengaruhi sistem saraf dan otak. Don't worry, penyakit rabies bisa dicegah apabila orang yang digigit anjing mendapat penanganan yang cepat dan tepat.
Gejala rabies pada manusia adalah agresif, cepat marah, kejang otot, kelemahan hingga merasakan sensitivitas berlebih terhadap cahaya terang, sentuhan atau suara. Yang mengerikan, ada 17.400 kematian yang terjadi akibat rabies di tahun 2015 dan 95 persen kasus terjadi di Afrika dan Asia. Vaksin rabies akan diberikan sebagai penanganan.
3. Chlamydophila psittaci

Chlamydophila psittaci mungkin terdengar asing di telinga kita. Infeksi ini bisa ditularkan dari unggas ke manusia. Unggas yang bertanggung jawab atas penyakit ini ialah burung beo, parkit dan makaw. Manusia bisa tertular jika menghirup kotoran kering atau sekresi saluran pernapasan burung yang terinfeksi, ungkap Minnesota Department of Health.
Kita juga bisa terinfeksi jika menangani bulu burung, paruh atau jaringan yang terinfeksi. Jangan dianggap sepele, sebab penyakit ini bisa menyebabkan pneumonia fatal. Gejala yang bisa ditandai adalah demam, mual, muntah, diare, kelelahan, batuk hingga nyeri otot dan sendi, terang laman Healthline memberi penjelasan.
4. Bartonella henselae

Jangan salah, kucing yang imut dan lucu bisa menularkan penyakit kepada manusia, lho! Salah satunya adalah Bartonella henselae, yang bisa ditularkan dari cakaran kucing liar, terutama dari anak kucing. Menurut laman Centers for Disease Control and Prevention, anak-anak di bawah usia 15 tahun adalah kelompok usia yang rentan terkena penyakit ini.
Namun, penyebab utamanya bukan kucing, tetapi kutu yang membawa bakteri Bartonella. Gejala penyakit ini adalah demam ringan, pembesaran kelenjar getah bening lunak yang berkembang dalam 1-3 minggu setelah terpapar dan infeksi mata serta nyeri otot. Antibiotik seperti rifampisin, gentamisin dan trimetoprim bisa menangani penyakit ini.
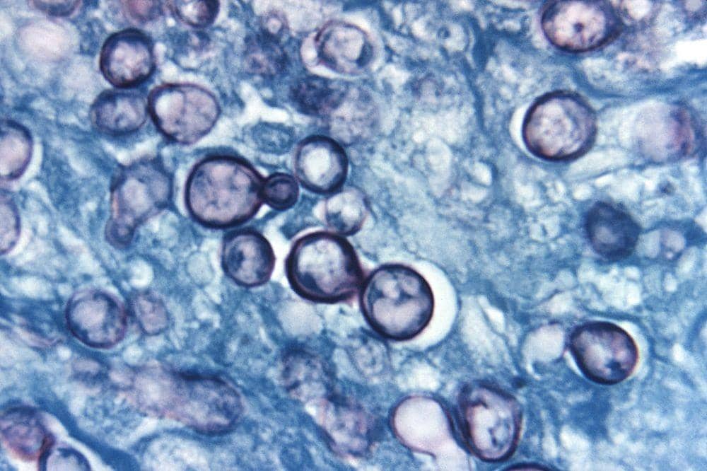
5. Histoplasma capsulatum

Selanjutnya, ada Histoplasma capsulatum, infeksi yang disebabkan oleh jamur yang bernama Histoplasma, jelas laman Centers for Disease Control and Prevention. Jamur ini biasa hidup di kotoran burung dan kelelawar. Cara penularannya cepat dan tanpa disadari, yakni setelah menghirup spora jamur mikroskopis dari udara.
Apa yang terjadi ketika kita usai menghirupnya? Biasanya, kita akan mengalami demam, batuk dan kelelahan. Kita bisa sembuh sendiri tanpa obat, namun orang dengan sistem kekebalan tubuh lemah akan mengalami infeksi yang parah. Cara mengobatinya adalah dengan obat anti jamur, seperti fluconazole atau amfoterisin B, ujar MedicineNet.
6. Trichinella spiralis

Tahukah kamu, dari hewan mana Trichinella spiralis berasal? Parasit nematoda ini biasa ditemukan di beberapa hewan karnivora dan omnivora, contohnya dari babi, beruang, hyena hingga hewan pengerat seperti tikus, jelas laman Centers for Disease Control and Prevention. Tentunya, parasit ini bisa menular ke manusia!
Manusia bisa tertular parasit ini dari memakan daging mentah atau kurang matang. Gejalanya bisa dikenali dari kram perut, diare, mual, lemas, demam, sakit kepala dan nyeri otot. Untuk mengatasinya, bisa digunakan obat anti parasit seperti anthelminthic untuk melawan trikinosis dan albendazole untuk mematikan cacing dan larva di usus.
7. Blastomyces dermatitidis

The last one, ada Blastomyces dermatitidis, yang disebabkan oleh jamur dan biasa ditemukan di anjing. Jamur ini paling sering menginfeksi saluran pernapasan pada manusia dan hewan, jelas laman VCA Hospitals. Spora jamur ini bisa masuk ke tubuh jika dihirup, baik secara sengaja maupun tidak sengaja.
Selain dari anjing, kamu bisa tertular penyakit ini dari kontak dengan tanah yang lembap. Misalnya, di dedaunan atau kayu yang membusuk. Jangan diremehkan, sebab penyakit ini bisa menyerang kulit, tulang, persendian dan organ lainnya, ungkap laman Medline Plus. Gunakan obat amphotericin B dan itraconazole untuk mengobatinya, saran Medscape.
Nah, itulah 7 penyakit yang bisa ditularkan dari hewan ke manusia. Semoga kita bisa terhindar dari penyakit tersebut, ya!

















