Nafas Pendek? Waspada, Mungkin Gejala Dari 7 Penyakit Ini

Pasti sangat mengganggu ketika kita sedang menjalani aktivitas sehari-hari yang sibuk, namun tiba-tiba menyadari bahwa bernapas kini tak se lega biasanya. Terasa berat dan begitu pendek-pendek, kamu mungkin bertanya-tanya apa yang terjadi? mungkinkah karena polusi udara, atau hal lainnya?
Ternyata nafas pendek bisa juga terjadi ketika ia menunjukan sebuah gejala suatu penyakit yang sedang menyerang tubuh, ini tentu harus perhatian dan harus segera ditangani dengan diperiksakan ke dokter sebelum terlambat. Dan berikut ini penyakit yang mungkin mendera tubuh ketika ia menunjukan gejala nafas yang berat dan terasa pendek-pendek.
1. Kelainan jantung

Nafas pendek salah satunya bisa merujuk pada gangguan jantung, salah satu yang bisa menyerang adalah tamponade jantung. Dimana darah atau cairan memenuhi ruang antara selaput tipis yang membungkus jantung dan otot jantung, Kondisi ini membentuk tekanan kuat dijantung yang mengganggu fungsinya untuk memompa darah keseluruh tubuh. Kondisi ini harus cepat ditangani karena dapat mengakobatkan berbagai hal lain dari gagal jantung hingga kematian.
2. Gangguan asam lambung

Dalam banyak kasus kondisi kelainan asam lambung atau maag dapat mengakibatkan napas terasa sesak dan pendek-pendek akibat asam lambung yang meningkat secara abnormal. Oleh karena itu penting memperhatikan pola makan dan pola hidup yang sehat untuk menghindari hal ini terjadi. Usahakan istirahat malam yang cukup dan jangan menunda waktu makan.
3. Infeksi paru-paru

Penomonia atau infeksi paru-paru disebabkan oleh bakteri dan virus yang menyebabkan paru-paru meradang membengkak dan dipenuhi cairan. Jadi perlu diperhatikan untuk sebisa mungkin menjaga udara yang masuk kedalam paru-paru dan memastikannya merupakan uadara yang bersih dan sehat, gunakan masker ketika berjalan di pinggir jalan raya yang penuh polusi.
4. Gejala anemia

Napas pendek untuk gejala anemia biasanya disertai dengan gejala lain seperti lemas, pusing dan mata berkunang-kunang. Ini akibat kurangnya pasokan oksigen dari darah yang seharusnya dialirkan keseluruh tubuh.
5. Gejala asma

Ini menjadi penyakit dengan gejala napas pendek yang paling umum dan mudah diduga. Asma membuat penyempitan pada saluran udara hingga membuat penderitanya kesulitan untuk menarik napas secara penuh dan panjang. Pemeriksaan lebih lanjut sedini mungkin penting dilakukan untuk mencegah hal-hal yang buruk terjadi. Dan juga agar kita tidak hanya terus menduga-duga, namun dapat mengetahui dengan pasti apa yang terjadi pada tubuh dan dapat dengan segera di tangani.
6. Keracunan karbon monoksida

Gas ini sangat berbahaya karena selain sangat beracun, gas ini tidak berbau, tidak berwarna dan juga tidak mengiritasi kulit dan mata namun akan sangat berbahaya ketika sudah terlalu banyak terhirup tanpa disadari dan mulai mengikat hemoglobin dan akhirnya membuat darah yang dialirkan keseluruh tubuh kekurangan oksigen. Salah satu gejala yang terasa ketika kita sudah terserang keracunan karbon monoksida adalah napas yang sesak dan pendek-pendek, terasa nyeri pada dada dan pusing, dan pada tingkat yang lanjut terlalu banyak menghirup karbon monoksida dapat menyebabkan kematian.
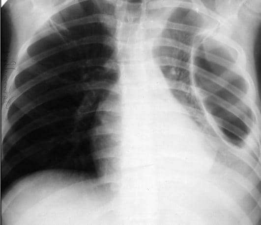
7. Pneumotoraks

Pneumotoraks adalah kondisi dimana terbentuknya sebuah kantong udara pada bagian paru-paru yang membuat paru-paru tersebut tertekan dan menjadi mengecil. Akibatnya anda anda akan kesulitan untuk bernapas secara penuh dan panjang karena ruang paru-paru yang kini terbatas.


![[QUIZ] Siapakah kamu sebenarnya?](https://image.rujakcingur.com/post/20250611/1401x788-Screen-Shot-2015-01-18-at-8.29.01-AM_zpsaxbn64rp.png)

.png)













