5 Penyebab Gigi Sensitif dan Kerap Diabaikan, Mengganggu Banget!

Semua orang pasti pernah merasakan yang namanya gigi sensitif. Gejalanya seperti ngilu saat menggigit makanan yang panas atau dingin. Kerap kali gigi yang sensitif diabaikan oleh penderitanya, padahal akan sangat mengganggu aktivitas kamu dan bahkan bisa berdampak lebih buruk dari yang kamu duga. Gigi sensitif pun bisa terjadi dalam jangka pendek bahkan hingga berkelanjutan.
Inilah beberapa penyebab gigi kamu sensitif.
1. Menyikat gigi kurang tepat

Menyikat gigi kurang tepat menjadi penyebab kamu merasakan gigi yang sensitif. Saat menggosok gigi usahakan jangan terlalu menekan, gunakan sikat gigi yang lembut dan jangan keseringan menggosok gigi. Pasta gigi pun menjadi faktornya, artinya kamu harus menggunakan pasta gigi yang tepat atau pasta gigi yang memiliki kandungan pencegah gigi sensitif.
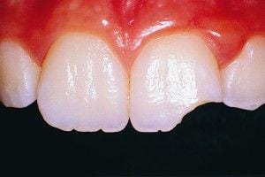
2. Gigi berlubang, retak atau gigi patah

Gigi patah atau retak disebabkan oleh berbagai faktor. Kebersihan gigi yang kurang diperhatikan atau karena kecelakaan. Saat kondisi gigi kamu berlubang, retak atau patah pun bisa menjadi penyebab kamu mengalami gigi sensitif.
3. Email gigi menipis atau bahkan rusak

Penipisan email gigi bisa disebabkan oleh berbagai hal, seperti terlalu sering mengonsumsi minuman bersoda, makanan manis, asam maupun vitamin C berlebih dalam tubuh.
Jika terlalu berlebihan memakan makanan jenis tersebut, dapat membuat rusaknya email gigi, seperti menipisnya lapisan email. Kondisi tersebut pun dapat membuat gigi kamu terasa ngilu dan sakit.
4. Bermasalah pada gusi dan dentin gigi

Penyebab selanjutnya gigi sensitif ialah pada dentin dan gusi. Gusi menyusut pun menjadi penyebab gigi sensitif. Gusi menyusut disebabkan berbagai faktor seperti bertambahnya usia, enamel dan dentin sudah tidak melindungi gigi secara sempurna.
Selain itu, gigi berlubang, patah atau busuk pun menyebabkan dentin menjadi terbuka, dentin merupakan zat yang berada dibawah email gigi.
5. Karena melakukan suatu tindakan pada gigi

Seperti halnya memasang kawat gigi, tambal gigi dan pemutihan gigi menjadi penyebab gigi sensitif. Meskipun kondisi sensitif akibat tindakan tersebut hanya bersifat sementara.
Itulah mengapa kamu kerap mengalami gigi sensitif. Selalu perhatikan kesehatan kamu seperti dari asupan makanan, agar tidak memperparah keadaan tersebut, ya.
.png)
















