Sering Ngilu dan Nyeri, Ini 10 Penyebab Gigi Sensitif yang Paling Umum

Apakah kamu pernah merasakan rasa ngilu atau nyeri di gigi? Bisa jadi itu dikarenakan gigimu merupakan gigi sensitif. Menurut jurnal “Tooth Sensitivity in Fluorotic Teeth” gigi sensitif adalah kondisi adanya respons berlebihan terhadap rangsangan sensorik gigi normal atau sehat. Padahal umumnya rangsangan sensorik tersebut tidak memicu respons.
Gigi sensitif umumnya ditandai oleh rasa sakit yang tajam dan cepat terhadap sentuhan, rasa panas ataupun dingin, bahan-bahan kimia bahkan hingga udara. Menariknya pula, ternyata ada banyak penyebab kamu mendapatkan gigi sensitif. Berdasarkan everydayhealth.com, berikut ini adalah penyebab-penyebab munculnya gigi sensitif.
1. Terlalu menggosok gigi

Terkadang gigi sensitif datang dari caramu menggosok gigi. Terlalu kerasnya kekuatan menggosok atau kerasnya sikat gigimu membuat lapisan luar gigimu rusak. Saraf gigimu menjadi lebih tampak dan memunculkan rasa nyeri tersebut.
2. Memakan makanan asam

Jika saraf gigimu sudah mulai terekspos, sedikit makanan berasam saja mampu menyebabkanmu merasakan rasa sakit. Saos tomat, lemon, kiwi bahkan acar adalah makanan-makanan yang mengandung asam.
3. Suka menggesekkan gigi

Konsepnya sama seperti poin pertama, namun gesekan yang terjadi bukan disebabkan gigi yang bertemu sikat gigi melainkan gigi atas tergesek atau tertekan dengan gigi bawah. Umumnya ini terjadi oleh orang-orang yang melakukan olahraga berat, seperti angkat beban dan sebagainya. Maka dari itu ada alat bernama pelindung gigi.
4. Menggunakan pasta gigi pemutih

Pasta gigi pemutih banyak diproduksi oleh pabrik menggunakan senyawa kimia. Bagi mereka yang memiliki gigi sensitif, hal ini pasti terasa. Cara mudahnya agar tidak merasakan ngilu adalah mengganti pasta gigi itu dan mencari yang tidak memiliki unsur pemutih.
5. Sering menggunakan obat kumur

Sama seperti pasta gigi, obat kumur pun memiliki beberapa formula kimia. Hal ini membuat gigimu menjadi lebih sensitif, terlebih jika kamu tidak pernah memeriksakan gigimu ini ke dokter gigi. Berkumurlah tanpa menggunakan obat kumur.
6. Punya penyakit gusi

Surutnya gusi yang bisa bertambah karena umur bisa menyebabkan gigi sensitif. Lebih dari itu, bisa jadi kamu terkena peradangan gusi atau gingivitis. Jika sudah seperti itu, yang bisa menyelesaikan adalah dokter gigi.
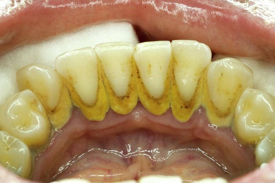
7. Memiliki plak berlebihan

Menyikat gigi tujuannya adalah untuk membersihkan plak yang menempel akibat makanan. Plak yang menimbun mampu merusak lapisan pelindung gigi, membuatmu gigimu menjadi lebih sensitif.
8. Menjalani penyembuhan gigi

Adalah hal umum kamu mendapat gigi sensitif setelah menjalani operasi gigi atau penambalan. Seharusnya rasa ngilu itu akan hilang dalam beberapa hari, namun jika masih saja terus dirasakan, sebaiknya segera konsultasikan ke dokter yang bersangkutan.
9. Gigimu retak

Gigi yang retak bisa memberikan rasa sakit yang melebih gigi sensitif. Dokter gigimu perlu mengevaluasi gigimu tersebut dan menentukan langkah terbaik apa yang harus dilakukan terhadap gigimu. Bisa jadi pengangkatan gigi.
10. Ada hal busuk di sela gigi

Semakin menua, gigimu akan semakin merenggang dan membuat hadirnya celah. Celah ini bisa digunakan bakteri untuk bersarang. Jika sudah terjadi, maka akan ada penumpukan asam di sana dan merusak enamel gigi.
Gigi sensitif bisa sangat mengganggu keseharianmu. Kamu tidak bisa lagi memakan es krim hingga meminum kopi yang panas, atau bahkan memakan makanan yang manis-manis dan mengandung gula. Karena itu selalu ingat untuk menggosok gigi. Gosoklah dengan sikat gigi yang empuk untuk tidak merusak gigimu.
.png)
















