Apakah Boleh Pakai Softlens saat Berenang? Ini 7 Fakta Kesehatannya

Lensa kontak atau sering disebut softlens adalah alat pengganti kacamata yang praktis karena digunakan langsung pada bola mata. Gak jarang banyak orang yang sering memakainya kapan pun dan di mana pun. Lantas, saat ingin berenang, apakah aman masih menggunakan softlens? Apakah hal ini berisiko mengiritasi matamu? Berikut penjelasannya.
1. Ternyata, penggunaan softlens saat berenang membahayakan matamu

Dilansir dari pernyataan Food and Drugs Administration (FDA), penggunaan softlens ternyata berbahaya bagi matamu. Kamu rentan terkena infeksi, mulai dari yang ringan hingga menyebabkan kebutaan.
2. Meski kamu berenang di air bersih, bakteri masih rentan menempel pada softlens milikmu

Baik berenang di air bersih atau kolam renang dengan kaporit, bakteri dan patogen gak bisa dengan mudah dibunuh oleh zat kaporit. Itu sebabnya, sebaiknya kamu gak memakai softlens saat berenang. Belum lagi saat berenang, air yang mengenai matamu dengan softlens akan terasa lebih keras dan menyakitkan.
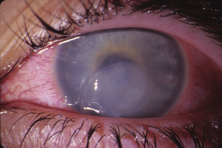
3. Penggunaan softlens saat berenang berisiko menyebabkan keratitis

Penyakit keratitis disebabkan oleh bakteri Acanthamoeba. Bakteri yang hidup di air laut, danau, dan air keran ini bisa menginfeksi kornea matamu saat hinggap di softlens. Penyakit ini bisa menyebabkan kebutaan dan hanya bisa ditangani dengan operasi penggantian kornea mata.
4. Selain itu, kamu juga rentan terkena infeksi Pseudomonas

Patogen yang hidup di air, tanah, dan tumbuh-tumbuhan ini bisa menyebabkan kebutaan jika hinggap di softlens. Bakteri ini sangat mudah menempel pada softlens. Itu sebabnya, sebaiknya kamu gak menggunakan softlens saat berenang.
5. Jika kamu terpaksa berenang dengan softlens, usahakan jangan menyelam

Hal itu untuk memastikan matamu tetap kering. Untuk itu, kamu bisa berenang dengan gaya punggung sehingga matamu gak terkena air.
6. Dalam keadaan terpaksa, kamu bisa menggunakan kacamata renang

Kacamata renang akan meminimalkan air yang akan mengenai matamu secara langsung. Untuk itu, pastikan kamu menggunakan kacamata yang pas dan nyaman, ya.
7. Segera ganti softlens milikmu setelah berenang

Setelah selesai berenang, segera ganti softlens milikmu. Namun, bisa juga dengan cara mensterilkannya agar bisa digunakan lagi. Meski begitu, kondisi ini sebaiknya kamu lakukan jika terpaksa berenang dengan softlens, ya.
Itu tadi fakta tentang softlens yang ternyata berbahaya jika digunakan saat berenang. Buat kamu yang punya kebiasaan seperti ini sebaiknya segera hentikan, ya.
.png)
















